最近在寫自己的「植牙矯正日記」
想到以前大妹在Ars雅偲專業牙科好像還有最後一階段的療程沒寫到哈哈 ((被揍飛
以前還沒有帶我妹去Ars的時候
我妹三不五時就會傳她的牙齒照片給我,問我這樣的牙齒是可以嘛?人生還過得下去嘛?諸如此類很誇張的話...
然後還會把自己看似愁雲慘霧的照片調成黑白的傳給我,好像再不去用牙齒,天就要塌下來了一般...

當時我還滿常去Ars附屬的醫美中心,所以也就好心腸的順便帶了妹妹們去看牙醫
現在大妹可樂的呢,拍照怎樣都要笑開懷,怕別人不知道她牙齒白一樣 Σ ̄ ̄+
不如先來回顧一下
「大妹無敵美牙變身日記」PART 1~3
PART 1,冷光美白
還沒有去Ars,我們就已經決定要貼美白貼片
但美白貼片通常只貼上排
所以還是先做了全口的冷光美白,再來對應下回上排要做美白貼片跟全瓷冠等的白皙程度
詳全文:「大妹無敵美牙變身日記」PART 1,冷光美白
PART 2,美白貼片的前製作業
看牙醫本來就不是一天兩天就可以End的事情,加上我妹又是一個爛牙 ((喂
所以門牙等處的地方先進行了抽神經、根管治療等的療程
好險Ars就在火車站前而已,我們從林口搭車到台北車站,走沒兩下就到達嚕!
不說你們不會發現,上圖的門牙是臨時假牙吧!!
超自然的啊,還跟真牙一樣有光澤呢!!
中間我們還去了香港,臨時假牙也沒有崩壞
但畢竟是假,是樹膠的材質,還是得乖乖地回診所換上預定好的美白貼片安捏
詳全文:「大妹無敵美牙變身日記」PART 2,美白貼片的前製作業
PART 3,美白貼片
我妹的美白貼片貼完以後~
本人是認真的覺得有比我的美欸,覺得心裡不平衡了 ((扭手
所以我中間回花蓮兩年忙民宿,現在又回到Ars來進化我的牙齒啦!!
詳全文:「大妹無敵美牙變身日記」PART 3,自然白拋的美牙大滿意!
嗯哼~
前面這樣都看起來好好的啦
PART 4要講的是口內牙的部分哩,關於臼齒,好像真的滿容易蛀的欸
所以我們現在主要要來處理的就是畫面中後面數來的第二顆牙噢!!
照片上倒數第二顆牙齒
以前就發現蛀牙有填補過了
不過還是持續地給它蛀下去,已經是滿誇張的地步啦!!
清蛀牙中~
看得我的牙齒好像有點酸酸的
你們也覺得牙齒酸酸的了嘛 >/////<
清完蛀牙以後的後二牙
最後一顆也是有蛀,但範圍還不算大,簡單的填補起來就可以了
倒數第二顆就比較嚴重了
清完蛀牙以後,牙齒變小也變矮了很多
所以需要使用牙冠增長術,再套上全瓷冠,好好保護這顆弱小的牙齒噢!!
小補腦一下
什麼是牙冠增長術?
為什麼不直接在蛀牙上套上全瓷冠就好了呢?
當牙齒蛀洞太深,延伸至牙齦內難以填補
或是剩下牙齒的結構露出牙齦外太少
都會導致無法做牙套,因為不夠面積可以包覆及附著
此時就可以考慮做牙冠增長術
其實牙冠增長術不是直接幫牙齒增高
而是切去該缺陷牙齒的周遭的部分牙齦,使缺損牙齒露出來的面積更大,幫助後續全瓷冠的附著
牙冠增長術以後
就有足夠的牙齒可以套上白拋拋又堅固的全瓷冠啦!!
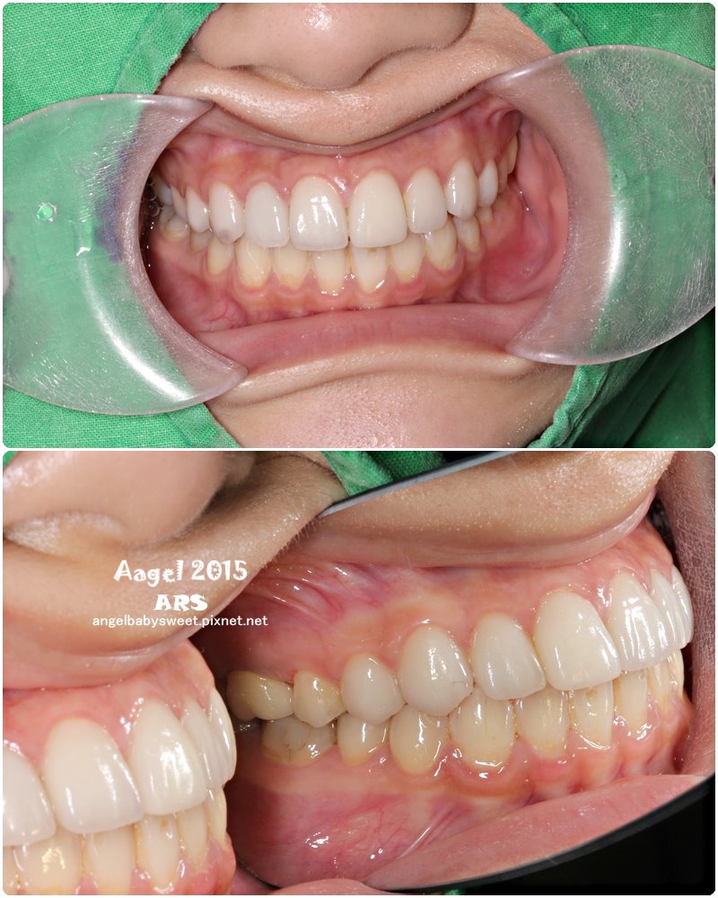
噹噹~
經過四階段以後,牙齒都美美的啦!!
不像本人接下來還要矯正啊 ((覺得羨慕
還沒有去Ars前
我妹不時都會傳這種要死不活,或者是牡蠣死透了不開口的照片給我
牙齒不好人生是有多黑白一樣
也是啦~
一口爛牙真的是很難藏欸,一說話就露餡了啊 ((不過護理師妳平常上班不是都戴口罩噢?!
好險算是有一個好姐姐帶她上Ars,還幫她在這邊寫紀錄這樣
請問這樣的好姐姐上哪找?!
誰叫妹妹幸福
就是身為姐姐最大的幸福捏
Ars雅偲專業牙科中心
http://www.arsdentclinic.com/

想我的就來粉絲團兒找我玩吧
啾咪 ❤❤❤
